
0 years 3 months
0 years 3 months
0 years 6 months
0 years 6 months
0 years 9 months
0 years 9 months
0 years 12 months
0 years 12 months
1 year 6 months
1 year 6 months
2 years 0 months
2 years 0 months
2 years 6 months
2 years 6 months
3 years 0 months
3 years 0 months
3 years 6 months
3 years 6 months
4 years 0 months
4 years 0 months
4 years 6 months
4 years 6 months
5 years 0 months
5 years 0 months
6 years 0 months
6 years 0 months
7 years 0 months
7 years 0 months
8 years 0 months
8 years 0 months
9 years 0 months
9 years 0 months
10 years 0 months
10 years 0 months
11 years 0 months
11 years 0 months
12 years 0 months
12 years 0 months
13 years 0 months
13 years 0 months
14 years 0 months
14 years 0 months
15 years 0 months
15 years 0 months
16 years 0 months
16 years 0 months
17 years 0 months
17 years 0 months
0 years 3 months
0 years 3 months
0 years 6 months
0 years 6 months
0 years 9 months
0 years 9 months
0 years 12 months
0 years 12 months
1 year 6 months
1 year 6 months
2 years 0 months
2 years 0 months
2 years 6 months
2 years 6 months
3 years 0 months
3 years 0 months
3 years 6 months
3 years 6 months
4 years 0 months
4 years 0 months
4 years 6 months
4 years 6 months
5 years 0 months
5 years 0 months
6 years 0 months
6 years 0 months
7 years 0 months
7 years 0 months
8 years 0 months
8 years 0 months
9 years 0 months
9 years 0 months
10 years 0 months
10 years 0 months
11 years 0 months
11 years 0 months
12 years 0 months
12 years 0 months
13 years 0 months
13 years 0 months
14 years 0 months
14 years 0 months
15 years 0 months
15 years 0 months
16 years 0 months
16 years 0 months

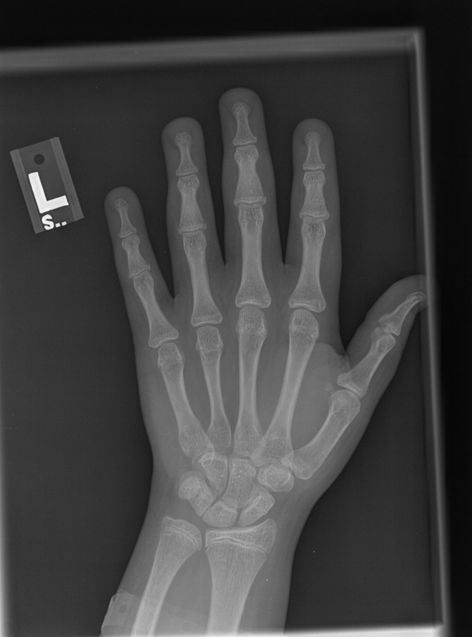
0y3m
0y6m
0y9m
0y12m
1y6m
2y0m
2y6m
3y0m
3y6m
4y0m
4y6m
5y0m
6y0m
7y0m
8y0m
9y0m
10y0m
11y0m
12y0m
13y0m
14y0m
15y0m
16y0m
17y0m